找回密码
 注册

QQ登录

只需一步,快速开始

微信登录

微信扫码,快速开始

查看: 23466|回复: 1

[焦点民生] 突然爆炸!这个常见保鲜品暗藏危险

[复制链接]
发表于 2025-8-17 12:00 | 显示全部楼层 |阅读模式 IP:广西南宁
冰镇冷饮冰淇淋为冷链食物保鲜……干冰在日常生活中十分常见但很多人不知道干冰若储存、使用不当便会“暗藏杀机”
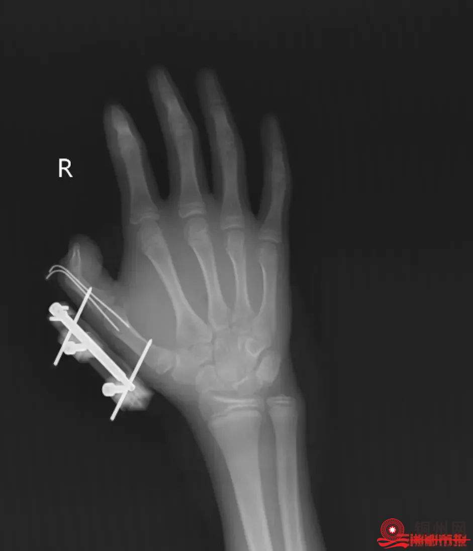
把干冰当玩具摇14岁少年手指被炸得深可见骨
前不久,湖南一名14岁的少年维维(化名),在爸爸网购冰淇淋的箱子里发现了用于冷藏的干冰,便拿走当成玩具玩,捏在手里反复摇晃。
突然,密封袋里的干冰发生爆炸,维维的右手瞬间鲜血直流,拇指虎口处被撕开一道约10厘米的伤口,深可见骨,肌肉组织断裂外露,还伴随着拇指骨折、关节脱位,整个拇指完全失去知觉。
855a9b75ed370ebd4929e86fed0db59f.jpg

见状,家人赶紧带他到当地医院包扎,随后紧急转往湖南省人民医院手足显微外科。经治疗,维维的拇指保住了,但后续还需长期康复训练,才能慢慢恢复手部精细动作功能。
维维懊悔不已:“早知道干冰这么危险,我绝对不会去玩。”
116b6ac70a044d0d38c998156d426dc6.jpg

干冰不是“冰”爆炸威力堪比鞭炮
干冰,又名固态二氧化碳,通常为无毒无味的白色固体,形状不一。干冰在常温常压下,可以直接升华成二氧化碳气体,升华时体积膨胀约800-1000倍,加入热水后会急剧加速升华产生大量烟气。
湖南省人民医院手足显微外科主任陈建民介绍,如果将干冰装在密封袋里摇晃,随着气体不断增多,袋子承受不住压力就会爆炸,爆炸产生的威力是普通鞭炮的数倍,瞬间的杀伤力不容小觑。
干冰使用不当可能造成致命危险
爆炸
在密闭容器中使用干冰:干冰在常温下易转化为二氧化碳气体,导致密闭容器内压力升高,超过容器承受极限后产生爆炸。
0aca2579a67c6571d08527bafb121935.gif
图源:广东消防
在冰箱内放置干冰:干冰的升华温度约为-78.5℃,而冰箱冷冻室的温度在-4℃至-24℃之间,因此干冰放入冰箱后,会持续升华产生大量二氧化碳气体,致使冰箱内部压力过大,发生爆炸。
fb4cf2028a85235e38e207535c19283a.jpg
图源:广东消防
窒息
干冰升华后产生的二氧化碳气体会导致人呼吸困难,如果在较封闭的空间内,短时间就可引发窒息,危及生命。
司机开车险窒息
元凶竟是后备厢的冷饮!

2024年夏,一男子在驾驶车辆时突感身体不适,几近昏迷。上海闵行公安分局碧江路派出所接到其妻子的异地报警,将男子送医急救。

原来,该男子车辆后备厢中装了一箱冷饮,用干冰冷藏,因干冰发生升华,他在密闭车厢里吸入了过量二氧化碳,导致身体不适。

119f599b0ea2eec68560000a59a01622.png
车辆后备厢里装了一箱冷饮。图源:闵行公安

冻伤
干冰是温度在-78.5℃以下的固态二氧化碳,直接接触皮肤会瞬间带走热量,非常容易造成冻伤,甚至导致皮肤坏死,重则伤及肌肉、骨骼。
收到冷链包裹如何安全处理干冰?
别让孩子触碰
家长要把干冰放在孩子拿不到的地方,防止儿童因为其“烟雾缭绕”而好奇把玩,明确告诉孩子干冰不是玩具。
拒绝密闭空间
  • 切勿将干冰存放在矿泉水瓶等密闭容器中,或保存在冰箱里;干冰要放置在通风良好的地方。
  • 不要在汽车等密闭空间内存放使用干冰。

接触必戴防护
不要直接接触干冰,为避免冻伤,可使用防冻手套或夹子拿取干冰。
受伤立即就医
1. 当人体皮肤接触干冰后出现冻伤,应对周围皮肤热敷并使用冻疮膏进行处理,若冻伤情况严重,应及时就医。
2. 一旦被干冰炸伤,应马上就医,以免耽误治疗。
若干冰爆炸导致塑料、玻璃等包装碎片刺入身体,应使其保持原位并立即就医,盲目拔出可能加重损伤。
6d4dc9c6a52dd9a89f8efd7306bf10fb.gif

提醒:收到干冰应通风放置妥善处理密封存放或爆炸徒手接触易冻伤若不慎被干冰炸伤冻伤请立即就医





来源 | 新华社微信公众号

发表于 2025-8-17 12:08 | 显示全部楼层 IP:云南
"干冰非玩具,安全记心间!保鲜虽便利,操作需规范。家长多提醒,孩子少冒险。科学认知不可少,莫让欢乐变伤痛!❄️⚠️"
回复 支持 反对

使用道具 举报

您需要登录后才可以回帖 登录 | 注册

本版积分规则

快速回复 返回顶部 返回列表